Yüksek rakımlarda, kış aylarında bulunan kar yığınları ilkbahar ve yaz ayları geldiğinde dondurucu soğuklarda gelişen bir alg sayesinde renk değiştirmeye, yamaçlar kızarmaya başlar. Karın bazı kısımları koyu kırmızı, paslı turuncu, pembe gibi parlak renklere bürünür. Buna “buzul kanı” veya bazen “karpuz karı” denir, ayrıca “pembe kar”, “kırmızı kar” veya “kanlı kar” gibi çeşitli isimlerle de bilinir. Olgu dünyanın her yerindeki alpin (yüksek dağlık) ve kutup bölgelerde, Kuzey Kutbu, Himalayalar, Rocky Dağları ve Yosemite Ulusal Parkı da dahil olmak üzere dünyanın birçok yerinde yüzyıllardır gözlenmektedir. Avustralya, Yeni Zelanda ve Yeni Gine buzullarında bile görülmüştür.
Yeşil Alg Patlaması ve Karların Renk Değiştirmesi
Uzmanlara göre bu doğal olay dünyadaki tüm dağlık bölgelerde normal olarak gerçekleşmektedir. Kırmızı ya da pembe gibi renk tonları soğuk ve karlı ortamlarda gelişen yeşil alg patlamasının (aşırı çoğalmasının) bir sonucudur. Son yıllarda, dünyanın dört bir yanındaki alpin habitatlarda kar alglerinin patlamalarında bir artış yaşanmıştır. Dağlarda yaşayan insanlar, eskiden görmedikleri bu durumu artık her yıl görmektedir. Bazı bilim insanları karpuz karı ile iklim değişikliği arasında bir bağlantı olduğunu, muhtemelen küresel ısınmanın hızlanmasına bağlı olarak alg çoğalmasının etkilerinin çok daha görünür hale geldiği düşünmektedir. Algler karbondioksit sayesinde, fotosentez yaparak yaşar. Güneş ışığından gelen enerjiyi kullanarak karbondioksiti kimyasal enerjiye dönüştüren fotosentez, çoğu fotosentetik organizmanın enerji topladığı ana mekanizmadır. Karbondioksit (CO2) seviyelerindeki artış alglerin gelişmelerinin nedeni olabilir. Ayrıca göllerdeki alg çoğalması gibi benzer olaylar insan faaliyetleriyle de ilişkilendirilebilir.

Renk Değişimine Hangi Algler Neden Olur?
Karpuz karının ilk belgelenmesi Yunan filozof Aristoteles tarafından yapılmıştır. Her ne kadar tuhaf renklenmeye bir şeyin katkıda bulunduğunun farkında olsa da (bunun kar altındaki kırmızı ve tüylü solucanların işi olduğuna inanmıştır) 1900’lerin başlarına kadar kırmızı kar genellikle mineral yatakları veya polenlerle karıştırılmıştır. 1819’da, bir keşif gezisi sırasında Kuzey Kutbu’ndan ‘kırmızı kar’ örnekleri incelenmek üzere alınmış ve numuneler incelenmek üzere Robert Brown ve Francis Bauer’e gönderilmiştir. Her iki adam da örneklerin nasıl sınıflandırılacağı konusunda farklı sonuçlara varmıştır. Brown, örnekteki organizmaların tek hücreli bir alg olduğuna inanırken, Bauer bunun yeni bir mantar türü olan Uredo nivalis (Chlamydomonas nivalis’in eş anlamlısı) olduğunu ilan etmiştir. Sonraki yüzyılda birçok araştırmacı bu organizmaların liken mi, bitki mi, alg mi yoksa hayvan mı olduğu konusunda tartışmıştır. Örneklerin sınıflandırılması ve yanlış sınıflandırılması hakkındaki tarihsel tartışmalar, daha eski yayınlardan alınan ve hepsinin C. nivalis’e gönderme yaptığı anlamına gelen bir dizi ismin (Uredo nivalis, Sphaerella nivalis, Protococcus nivalis ve Haematococcus nivalis ) ortaya çıkmasına neden olmuştur. Araştırmacıların nihayet organizmanın algal doğası üzerinde anlaşmaya varmaları ve ona şu anda bilinen Chlamydomonas nivalis adını vermeleri ancak 20. yüzyılın başlarında gerçekleşmiştir. 1968’de C. nivalis resmi olarak kolektif bir takson olarak tanınmıştır. Bugün C. nivalis en çok çalışılan kar yosunlarından biri haline gelmiştir. Her ne kadar taksonomisi hâlâ belirleniyor olsa da, bu kar yosununun yaşam döngüsü artık çok daha iyi anlaşılmış durumdadır. Karpuz karı denilen doğa olayında karın en sık görülen renk olan kırmızı görünmesine rağmen, kar ve buz üzerinde yaşayan ve genellikle beyaz olan donmuş yağışları mor, yeşil ve turuncu gibi çeşitli renklere dönüştürebilen farklı türde algler de bulunmaktadır.
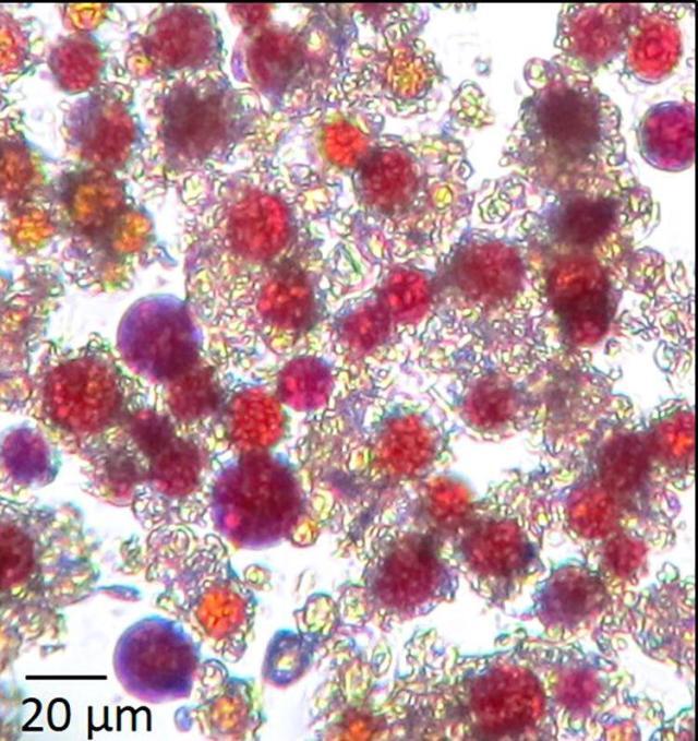
C.nivalis Psikrofilik Bir Tatlı Su Algidir
Ekstremofiller, aşırı koşullar (bir insanın bir mikrosaniye bile hayatta kalamayacağı koşullar) altında iyi yaşayabilen bir organizmalardır. Ekstremofillerin çoğu mantarlar, algler, bakteriler ve özellikle arkeler gibi mikroorganizmalardır. Aşırı düşük sıcaklıklarda yaşayan ekstremofillere psikrofiller ya da kriyofiller denir. Kriyofilik algler dünya çapında Alpler ve kutup bölgelerinde karlı alanlarda ve yüksek rakımlı dağ zirvelerinde kar ve buz içindeki sıvı suda gelişirler. Bu algler kutup bölgelerindeki birincil üretime önemli ölçüde katkıda bulunur, ancak düşük sıcaklıklara adaptasyonlarının altında yatan mekanizmalar bilinmemektedir.
Chlamydomonas nivalis, kutuplarda ve dağlardaki karla kaplı alanlarda (eriyen karların içindeki buz kristalleri arasındaki soğuk sularda) kendi ekolojik nişinde gelişmeye adapte olmuş psikrofilik (kriyofilik)bir tatlı su algidir. Nispeten büyük bir mikroalg türü olan C. nivalis’in oval ila yuvarlak hücrelerinin çapı genellikle 5-15 mikrometredir (mikron da denilen bu uzunluk birimi metrenin milyonda birine, milimetrenin ise binde birine eşittir), ancak küresel, hareketsiz kırmızı kist evrelerinde 40 mikrometreye kadar büyüyebilir. Kırmızı pigmentleri sayesinde kar alanlarındaki kırmızı lekelerden, karpuz karı denilen doğa olayından sorumludur. Chloromonas typhlos adıyla da anılan bu yeşil algler, düşük sıcaklık, yüksek ışık, düşük pH, besin eksikliği, donma-çözülme döngüleri ve UV ışınımı gibi aşırı koşullar altında bile önemli miktarda biyokütle üretirler. Bu nedenle soğuğa adapte olan diğer organizmalar ( buz solucanları, sıçrar kuyruklular da denilen bir böcek türü olan collembola ve bakteriler gibi) için hayati bir besin kaynağı olarak hizmet ederler.
C. nivalis’lerin yaşam döngüleri oldukça karmaşıktır ve hem eşeyli hem de eşeysiz üremeyi içerir. Mevsimsel yaşam döngüleri, karotenoid bileşiminin bir sonucu olarak hücrenin rengine bağlı olarak yeşil, turuncu ve kırmızı olmak üzere üç aşamaya ayrılabilir.
Yeşil aşama:
Sıcaklıkların daha yüksek olduğu ve zigotların eriyik su havuzlarında mayoz bölünme geçirdiği İlkbaharda ve yaz boyunca, yeşil hareketli yavrular üretilir. Bu hücreler karakteristik iki flagellaya (kamçıya) sahiptir. Kamçılı aşamada daha uygun koşullara ulaşana kadar karda yüzerek olumsuz ışık ve sıcaklıktan kaçınırlar. Yeşil hücrelerin kloroplastları düzensiz şekillidir. Baskın pigment olan klorofil, hücreye karakteristik rengini(yeşil) verir ve ışık emilimi yoluyla maksimum hücre büyümesini kolaylaştırır. Hücreler enerji ve büyüme için fotosentetik olarak aktif radyasyona ihtiyaç duyduğundan, bu aşamada ikincil karotenoid konsantrasyonları çok daha düşüktür.
Turuncu aşama:
Yazın ilerleyen dönemlerinde besinler azalmaya başlar ve güneş radyasyonu daha yoğun hale gelir. İkincil karotenoidler, zigotları UV radyasyonundan korumak için hücrenin plastidlerinin etrafındaki alanda birikerek yeşil zigotları turuncuya çevirir. Hücreler turuncu fazda şeker ve yağ depolamaya başlar ve kamçılarını kaybeder. Turuncu faz sırasında hücre duvarı da yaklaşan dondurucu soğuğa dayanabilmek için kalınlaşır.
Kırmızı aşama:
Kış yaklaşırken hücreler yaşam döngülerinin son aşamasına yaklaşırlar. Kış mevsimi başladığında turuncu hücreler bu organizmanın yaşam döngüsünün çoğunu geçirdiği aşama olan kırmızı, uykuda olan kistlere dönüşürler ve bahara kadar böyle kalırlar. Bu aşamadaki hücreler zorlu çevre koşullarına en dayanıklı olanlardır. Bakteri, mantar ve toz parçacıkları gibi inorganik ve organik maddeler hücre duvarının müsilaj tabakasını kaplar.
Kar kütlesinde yeterli miktarda erimiş su ve yeterli besin olduğunda, örneğin ilkbaharda, bu kist formu uyku halinden çıkar. Kırmızı aşamada hücreler, ultraviyole ışınlarını bloke ederek alg hücrelerini güneş ışınlarından koruyan astaksantin maddesini bol miktarda içerir. Astaksantin, hücrenin koyu kırmızı görünmesini sağlayan ikincil bir pigmenttir. Astaksantin ve onun esterleştirilmiş türevleri, olgun kırmızı sporların sitoplazmik lipit gövdelerinde klorofil a miktarının 20 katına kadar birikir. Algler gerçekten çok sayıdaysa karın rengi kırmızıya çevrilebilir. C. nivalis’te de bulunabilen diğer pigmentler arasında violaksantin ve adonirubin bulunur. C. nivalis’in güçlü antioksidan özelliklere, sağlam bir onarım mekanizmasına ve araştırmacıların ilgisini çekebilecek diğer bileşenlere sahip olması muhtemeldir.
Alglerin astaksantin için seri üretimi yapılabilirse, C. nivalis potansiyel olarak farmasötikler, takviyeler veya güzellik ürünleri için de bir kaynak olabilir. Bu alg, küresel albedoyu azaltmadaki olası rolü, aşırı ortamlarda hayatta kalma yeteneği ve ticari olarak ilgili bileşiklerin üretilmesindeki olası rolü nedeniyle, çeşitli alanlardaki araştırmacıların üzerinde çalışacağı ilginç bir organizmadır. Bu organizmayı daha iyi anlamak ve önceki sınıflandırma hatalarını düzeltmek amacıyla yaşam döngüsü bugün hala incelenmektedir.

Karpuz Karının İklimsel Sonuçları
Alg denilen bitki benzeri organizmalar tüm ekosistemlerin temelidir. Algler, fotosentetik yetenekleri sayesinde dünyadaki oksijenin büyük bir kısmını üretir ve çoğu besin ağının temelini oluşturur. C. nivalis gibi kar alglerinin patlamaları (çoğalması) tam olarak anlaşılamamış olsa da, meydana geliyor olmaları muhtemelen iyiye işaret değildir.
Görünür alg çoğalmaları yüzey albedosunun (yansıtıcılığın) önemli bir belirleyicisi olabilir. Bir orman güneş ışınımını çok az yansıtır yani ormanın albedosu düşüktür fakat beyaz karlar, üzerine düşen radyasyonun çoğunu yansıtır ve yüksek bir albedoya sahiptir. Kısmen C. nivalis’ten oluşan alg çoğalmasının buz ve kar albedosunun azalmasına katkıda bulunabileceği ileri sürülmektedir. Hücrenin ürettiği kırmızı renkli pigmentler inorganik malzemeyle birleşerek kar üzerindeki koyulaşmayı arttırabilir ve beyaz karın yüzey alanını azaltabilir. Güneş enerjisinin algler tarafından emilmesi nedeniyle albedo azalabilir ve kar üzerinde alg çoğalmasının oluştuğu daha koyu alanlar daha hızlı erir. Bunun nedeni yansıtmak yerine daha fazla ışık ve ısının emilmesidir.
Kar sıvıya dönüştükçe, su, ışık ve besinlerle beslenen algler büyür ve erime döngüsünü devam ettirir. Nature dergisinde 2016 yılında yayınlanan ve 16 bölgedeki 40 kırmızı kar alanını inceleyen bir araştırmaya göre, Kuzey Kutbundaki pigmentli kar algleri, kar albedosunu yalnızca bir kar mevsiminde %13 oranında azaltabilir. Karların erimesindeki artış özellikle Kuzey Kutbu ve Antarktika gibi buzullarda alglerin bulunduğu bölgelerde sorun yaratabilir ve daha fazla çalışma yapılmadan ne kadar etkisi olacağını belirlemek zor olsa da deniz seviyesinin yükselmesi gibi kritik sorunlara katkıda bulunabilir. Kar kütlesi eridiğinde nehirler aracılığıyla aşağı havzadaki ekosistemlere ve topluluklara su kaynakları sağlar. İlkbahar veya yaz aylarında karlar algler nedeniyle daha hızlı erirse akarsular ve su yolları ısınabilir. Sezonun ilerleyen dönemlerinde sel olayları ve ardından daha fazla buharlaşma ve kuraklıklar yaşanabilir. Dolayısıyla kar erime hızı, yaz sezonu boyunca mevcut su miktarını etkileyebilir. Kar kütlelerinin azalmaya devam etmesi ya da erime takviminin değişmesi, içme suyu kaynakları, tarım ve hatta hidroelektrik üretimi için de risk oluşturabilir.
Dünya çapında kar algleri üzerinde çalışan çok fazla insan yoktur, ancak iklim ısındıkça ve kar yığınları ve buzul karları daha düzenli ve sezonun başlarında eridikçe bu alglerin daha da kötüleşeceği veya daha yoğun olacağı tahmin edilmektedir. Bilim insanları, bu alg çoğalmalarının kar erimesi modellerine dahil edilecek kadar ciddi olup olmadığını ya da kar üzerindeki toz veya külden daha kötü olup olmadığını tartışmaktadır. Kar erimesinde o kadar çok değişken (topografya ve eğim gibi) vardır ki, iklim değişkenliklerinin temellerine bağlı kalmak gerekir. Birçok araştırmacı gelecekteki iklim simülasyonlarının, buzun erime hızı ve iklim değişikliğine katkıları hakkında tahminlerde bulunurken alglerin etkilerinin de hesaba katılması gerektiğini öne sürmektedir.

Karpuz Karı Yenilebilir Mi?
Genel olarak çoğu alg yenilebilir kabul edilir. Kar yosununun hafif karpuz kokusu bile bu izlenimi verebilir. Test amacıyla, çok küçük dozlarda kar yosununun tadına bakanlar hasta hissetmemişlerdir. Ancak kar yosunlarının insanlara zararlı bakteriler ve zehirli algler tarafından kirlenmiş olması da mümkündür. Her kişinin sindirim sisteminin tolerans düzeyi farklı olsa da, çok miktarda karpuz karı yemenin müshil etki yaratabildiği ve diğer sindirim rahatsızlıklarına neden olduğu bilinmektedir. Bu nedenle hoş, cazip bir görüntüsü (hatta kokusu) olsa da kişilerin karpuz karı yemesi önerilmemektedir.
KAYNAKÇA:
https://www.greenmatters.com/weather-and-global-warming/what-causes-watermelon-snow
https://www.micropia.nl/en/discover/microbiology/Chlamydomonas-nivalis/
https://oceanconservancy.org/blog/2020/03/04/what-is-watermelon-snow/
https://www.haberturk.com/bilim-insanlari-endiseli-alpler-de-kirmizi-kar-3471918
https://yesilgazete.org/antartikaya-karpuz-kari-yagdi/
https://www.bolgegundem.com.tr/service/amp/kirmizi-kar-nedir-nerede-gorulur-gercekten-yagar-mi-3007334h.htm
YAZAR: MÜŞERREF ÖZDAŞ
Benzer Yazılar
Yorumlar kapatılmıştır.