BTC - $78,561.00 4.24%
ETH - $2,397.72 4.04%
USDT - $1.00 0.00%
XRP - $1.44 1.41%
BNB - $640.57 1.98%
USDC - $1.00 -0.01%
SOL - $87.38 2.69%
TRX - $0.33 -1.22%
FIGR_HELOC - $1.04 0.18%
DOGE - $0.10 2.43%
WBT - $56.00 2.76%
USDS - $1.00 0.01%
HYPE - $41.27 4.55%
LEO - $10.27 -0.98%
ADA - $0.25 1.58%
BCH - $463.11 4.00%
XMR - $375.07 -3.01%
LINK - $9.38 0.85%
XLM - $0.18 0.58%
CC - $0.15 0.30%

Sfenoid Kemik Nedir?

Sfenoid kemik, kafatasının içinde yer alan ve beynin alt kısmında bulunan, karmaşık bir yapıya sahip olan bir kemiktir. “Sfenoid” kelimesi, Yunanca “wedge” yani “maşa” anlamına gelen kelimeden türetilmiştir çünkü şekli, bir maşa veya kama gibi görünür. Bu kemik, kafatasının tabanında, göz çukurlarının hemen gerisinde yer alır ve beyinle doğrudan ilişkili...

admin
admin tarafından
5 Ekim 2025 yayınlandı / 05 Ekim 2025 11:23 güncellendi
4 dk 58 sn 4 dk 58 sn okuma süresi
Sfenoid Kemik Nedir?
Google News Google News ile Abone Ol 0 Yorum

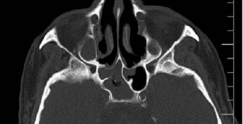
Sfenoid kemik, kafatasının içinde yer alan ve beynin alt kısmında bulunan, karmaşık bir yapıya sahip olan bir kemiktir. “Sfenoid” kelimesi, Yunanca “wedge” yani “maşa” anlamına gelen kelimeden türetilmiştir çünkü şekli, bir maşa veya kama gibi görünür. Bu kemik, kafatasının tabanında, göz çukurlarının hemen gerisinde yer alır ve beyinle doğrudan ilişkili bir dizi önemli yapıyı destekler. Sfenoid kemik, başın ön kısmı, yanları ve arka kısmı arasında köprü görevi görür ve oldukça önemli bir anatomik yapı olarak kabul edilir.

Sfenoid Kemiğin Anatomik Yapısı ve Özellikleri

Sfenoid kemiği, kafatasının orta kısmında yer alır ve beyin, gözler, burun ve ağız gibi önemli organlar arasında bir bağlantı sağlar. Bu kemik, birbirine bağlı bir dizi farklı bölümden oluşur:

Beden (Corpus): Sfenoid kemiğin merkezi kısmıdır ve şekli, büyük bir kama gibi geniş ve düz bir yüzeye sahiptir. Beden, diğer yapıların bir araya geldiği ve önemli damarlar ile sinirlerin geçtiği bir merkezdir.

Kanat (Wings): Sfenoid kemiğin iki büyük kanadı vardır: büyük kanat ve küçük kanat. Büyük kanat, kafatasının üst kısmında geniş bir alanı kaplar ve göz çukurlarının arkasında yer alır. Küçük kanat ise, ön kısmı daha ince ve küçük olup, beynin ön kısmına doğru uzanır.

Sella Turcica: Sfenoid kemiğin içinde, beyinle bağlantılı olan bir yapıdır ve hipofiz bezinin yerleştiği bölgeyi barındırır. Bu bölge, hipofiz bezinin yerini alır ve beyinle ilgili hormonları üreten önemli bir rol oynar.

Optik Kanal: Sfenoid kemiğinde, gözleri kontrol eden sinirlerin geçtiği optik kanallar bulunur. Bu sinirler, görme duyusu ve göz hareketleri için kritik bir rol oynar.

Foramen Lacerum: Sfenoid kemiği, kafa tabanında yer alan birkaç önemli damar ve sinirin geçtiği bir bölge olan foramen lacerum’u içerir.

Sfenoid Kemiğin Fonksiyonları

Sfenoid kemiği, kafatasının temel yapısal desteğini sağlar. Bunun yanında, bir dizi biyolojik işlevi de vardır:

Beyin ile İletişim: Sfenoid kemiği, beynin önemli bölgeleriyle doğrudan ilişkilidir. Özellikle hipofiz bezi, beyin ve diğer organlar arasındaki iletişimi sağlayan sinirler, sfenoid kemiği üzerinden geçer.

Göz ve Görme Sistemi: Sfenoid kemik, göz çukurlarının arkasında bulunarak, göz sinirlerinin ve göz kaslarının düzgün çalışmasını sağlar. Optik kanal, göz sinirlerinin beyne iletilmesi için önemlidir.

Havayolu ve Solunum Sistemi: Sfenoid kemiği, burnun ve boğazın bazı bölümleriyle bağlantılıdır, bu da solunum yollarının düzgün çalışmasını sağlar.

Yüz Anlamında Denge Sağlama: Sfenoid, yüz kemiklerinin birbirleriyle uyum içinde çalışarak dengeyi sağlamasına yardımcı olur. Yüz hatlarının belirginleşmesinde önemli bir rol oynar.

Sfenoid Kemik Hastalıkları ve Sorunlar

Sfenoid kemiği, yapısı ve fonksiyonu itibariyle oldukça karmaşık bir kemiktir. Bu nedenle, çeşitli hastalıklar ve sorunlar bu bölgede meydana gelebilir. Bazı yaygın sfenoid kemik hastalıkları şunlardır:

Sfenoid Sinüs Enfeksiyonu: Sfenoid kemiğin iç kısmında, sinüsler bulunur ve bu sinüslerde enfeksiyon meydana gelebilir. Sinüzit, burun tıkanıklığı ve baş ağrısı gibi belirtilerle kendini gösterebilir.

Sfenoid Fraktürleri: Kafatası yaralanmaları, sfenoid kemiğin kırılmasına yol açabilir. Bu durum, göz sinirlerine zarar verebilir ve görme kaybı gibi ciddi komplikasyonlara yol açabilir.

Sfenoid Kemiği Kistleri: Sfenoid kemiği, nadiren de olsa, kistlere ev sahipliği yapabilir. Bu kistler, sinüslerde veya kemik içinde büyüyebilir ve baş ağrısı, görme bozukluğu veya baş dönmesine neden olabilir.

Sfenoid Kanserleri: Sfenoid kemik kanserleri nadir olmakla birlikte, bu tür kanserler başın arka kısmında bulunan bölgeden başlayabilir. Tedavi edilmezse, kanser çevre dokulara yayılabilir.

Sfenoid Kemiği ile İlgili Testler ve Tanı Yöntemleri

Sfenoid kemiğinde meydana gelen hastalıklar veya problemler, genellikle baş ağrısı, görme bozuklukları, sinüs tıkanıklığı gibi belirtilerle kendini gösterir. Bu tür şüpheler doğrultusunda yapılan testler, doğru tanıyı koymak için önemlidir.

Radyolojik Testler: SFenoid kemik problemleri genellikle MRI (manyetik rezonans görüntüleme) ve CT taramaları gibi görüntüleme yöntemleriyle tespit edilir. Bu testler, sfenoid kemiğinin iç yapısını ve sinüsleri değerlendirmeye yardımcı olur.

Sinüs Muayenesi: Sfenoid sinüs enfeksiyonu şüpheleniliyorsa, doktorlar endoskopik sinüs muayenesi yapabilir. Bu, sinüslerin içini görsel olarak incelemeyi mümkün kılar.

Biyopsi: Sfenoid kemik kanseri veya kist şüphelerinde, biyopsi yapılabilir. Bu işlem, etkilenen bölgeden doku örneği alınarak laboratuvar ortamında incelenmesini sağlar.

Sfenoid Kemik Tedavi Yöntemleri

Sfenoid kemik sorunlarının tedavisi, duruma ve hastalığa bağlı olarak değişir. Bazı yaygın tedavi yöntemleri şunlardır:

İlaç Tedavisi: Sfenoid sinüs enfeksiyonları genellikle antibiyotiklerle tedavi edilir. Anti-inflamatuar ilaçlar da ağrıyı ve iltihaplanmayı azaltmak için kullanılır.

Cerrahi Müdahale: Sfenoid kemik fraktürleri veya büyük kistlerde cerrahi müdahale gerekebilir. Kanser vakalarında, tümörün çıkarılması için cerrahi operasyonlar yapılabilir.

Kemoterapi veya Radyoterapi: Sfenoid kemik kanseri gibi durumlar için kemoterapi ve radyoterapi seçenekleri de kullanılabilir.

Yazar: Bekir BULUT

Yorumlar kapatılmıştır.

İLGİNİZİ ÇEKEBİLİR
Göz Kuyruğu Nedir? Göz Kuyruğu Neresidir?​
05 Ekim 2025

Göz Kuyruğu Nedir? Göz Kuyruğu Neresidir?​

Sfenoid Kemik Nedir?

Bu Yazıyı Paylaş

İnternet sitemizde tanıtım yazınız olmasını ister miydiniz? İletişim
Bize Ulaşın Bildirimler
1